Dental Hygiene Gallery Isle of Wight - Bright Smile

Bright Smile

Gallery

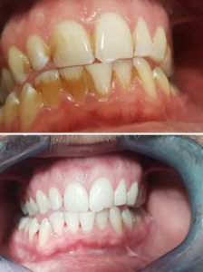
Before and After

Bright Smile Dental Hygiene

We are dedicated to giving each of our patients the healthy smile they deserve!